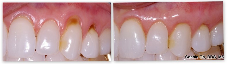
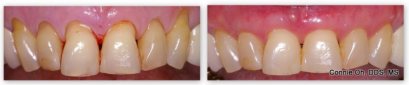
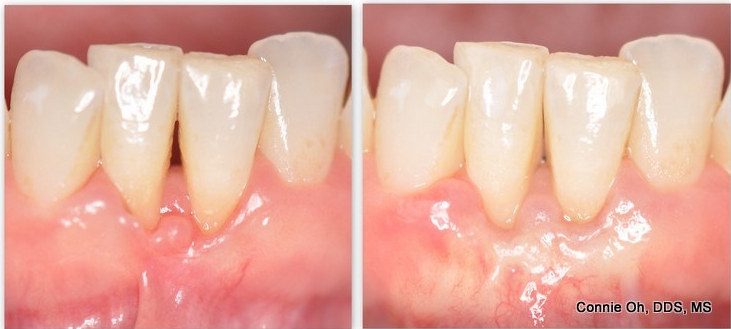
These procedures are a predictable way to cover unsightly, sensitive, or exposed root surfaces and to prevent future gum recession. If you are unhappy with the appearance of short unsightly teeth this can be greatly improved by a combination of periodontal procedures by your periodontist and cosmetic dentistry by your dentist.
Gum grafts are usually performed in situations where there is recession, or where there is no gum tissue. Several types of grafting procedures can be done to achieve the desired results. You will be given a full explanation of your specific situation and the type of graft that is recommended for you.






