Functional Crown Lengthening
Functional crown lengthening is indicated when teeth are broken down or have a cavity that extends deep along the gumline. In such cases, your dentist may not be able to make a reliable crown or filling that fits the tooth.
This situation is remedied through crown lengthening. This surgery entails repositioning the gum and bone, so that the gumline is moved down the tooth. This effectively exposes more of the tooth, and gives your dentist access to perform any necessary treatment to help you save the tooth.
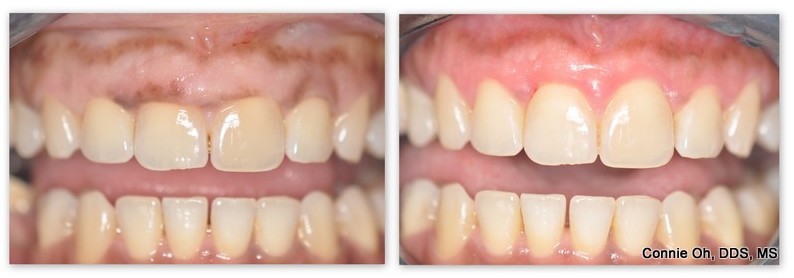
Aesthetic Crown Lengthening
This procedure is performed in cases where there is too much gum tissue around the teeth, resulting in a “gummy smile”. This condition can affect single areas, or can be widespread. In either case, the result can make for an incongruous or distracting smile.
A gummy or uneven smile can be remedied through aesthetic crown lengthening. In this procedure, the excess gum and underlying bone is reshaped to even out the gum line and create a harmonious smile.


